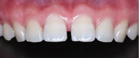
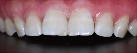
아직도 치아미백을 망설이시나요? 당신이 알고 싶은 모든 것이 여기에 있습니다!
1. 치과수술에 나이제한이 있나요?
성인의 경우 교정치료를 받기에 가장 좋은 시기는 37세 이전입니다. 치주상태가 허락하는 한 조기에 교정치료를 시작하는 것이 좋습니다.
소아의 경우 조기개입 치료는 4~12세 사이에 시작할 수 있으며, 12~18세는 소아교정의 황금기이다.
2. 치과수술 후 치아가 흔들리나요?
교정치료를 하는 동안 치아는 치료의 필요에 따라 움직이게 되지만 전문 치과교정의가 치아에 손상을 주지 않도록 이동력을 조절하게 됩니다. 치아가 목표 위치로 이동하면 일정 기간 동안 안정화된 후에도 더 이상 풀리지 않습니다. 그때부터 당신은 가지런하고 안정된 치아를 갖게 될 것입니다.
치과 수술을 받았는지 여부와 관계없이, 나이가 몇 살이 되었든 치아가 약간 흔들리는 것은 정상입니다. 치아가 심하게 흔들리면 치주 건강과 관련이 있습니다. 구강 위생에 주의를 기울이면 예방할 수 있습니다.
3. 왜 어떤 사람들은 교정을 위해 치아를 발치해야 합니까?
일반적으로 치아교정 치료 중 발치 확률은 높아지지만 모든 사람이 발치를 필요로 하는 것은 아닙니다.
치아가 너무 촘촘하고 튀어나온 경우 치아가 정렬되고 안쪽으로 이동할 수 있는 충분한 공간을 확보하기 위해 치아를 발치해야 할 수도 있습니다.
4. 치과 수술은 보통 얼마나 걸리나요?
치아교정 치료기간은 1년반~2년정도 소요됩니다. 구체적인 치료 시기는 사람마다 다르며, 전문적인 치아교정 검진과 의사의 면담 평가가 필요합니다.
또한, 교정치료의 시기도 고객님의 협조와 관련이 있습니다.
5. 왜 양치질을 잘 해야 할까요?
치과 치료 과정에서 음식을 먹을 때 치아 사이, 치아와 교정 장치 사이, 교정 장치 사이에 음식물이 많이 끼기 쉽습니다. 제때 청소하지 않으면 충치 등의 문제가 쉽게 발생할 수 있습니다. 따라서 교정장치를 착용한 후에는 청소가 최우선이 됩니다.
6. 왜 유지장치를 착용해야 하나요?
이는 치과 수술이 끝나면 치아의 위치가 불안정해 지지 조직이 현재의 적절한 위치로 완전히 재형성될 때까지 기다리면서 이 위치에서 치아를 안정시키는 데 도움이 되는 외력이 필요하기 때문입니다.
이러한 외력을 제공하여 교정반동을 효과적으로 방지할 수 있는 다양한 유지장치가 있습니다.
7. 치과수술을 하면 더 아름다워질까요?
많은 언론보도에 따르면 연예인 치아수술은 성형수술에 버금가는 수준이며, 그 변화도 엄청나다. 삐뚤어진 치아, 튀어나온 치아, 잇몸 미소를 지닌 대부분의 사람들의 치아는 수술 후 더욱 아름다워질 것입니다.
하지만 치아교정 치료에 너무 많은 것을 기대하지는 마세요. 의사가 수술을 권유하고, 교정치료만 고집한다면 효과는 그다지 뚜렷하지 않습니다.
8. 치과수술의 효과는 얼마나 오래 지속될 수 있나요?
성실하게 유지장치를 착용한 사람의 경우 일반적으로 치아가 튀는 현상이 발생하지 않으며, 치과치료 결과도 영구적으로 유지될 수 있습니다. 유지장치를 1년 정도 끼고 있다가 이후에도 조심스럽게 착용하지 않아 교정반발이 일어나는 경우도 있습니다. 이 변화도 미미하여 수정 전으로 돌아가는 것은 불가능합니다.
9. 성형수술을 먼저 해야 할까요, 치아교정을 먼저 해야 할까요?
치아의 모양은 턱니처럼 얼굴형과 밀접한 관련이 있기 때문에 치아교정을 먼저 하는 것이 교정의의 권유입니다. 이는 누구나 이해할 수 있는 사실입니다.
일반적으로 치과 수술 후 턱, 코 등 얼굴의 다른 부분을 조정합니다. 이 치료 순서는 더 과학적이고 합리적입니다.

